A 57 year old man complained of a ‘large mole’ on the right cheek
There is a blackish, irregular, raised, pigmented plaque on the surface of the skin. At the oblique angle, the lesion can just be seen extending into the underlying dermis. The deep excision margin (base of excision) is not involved
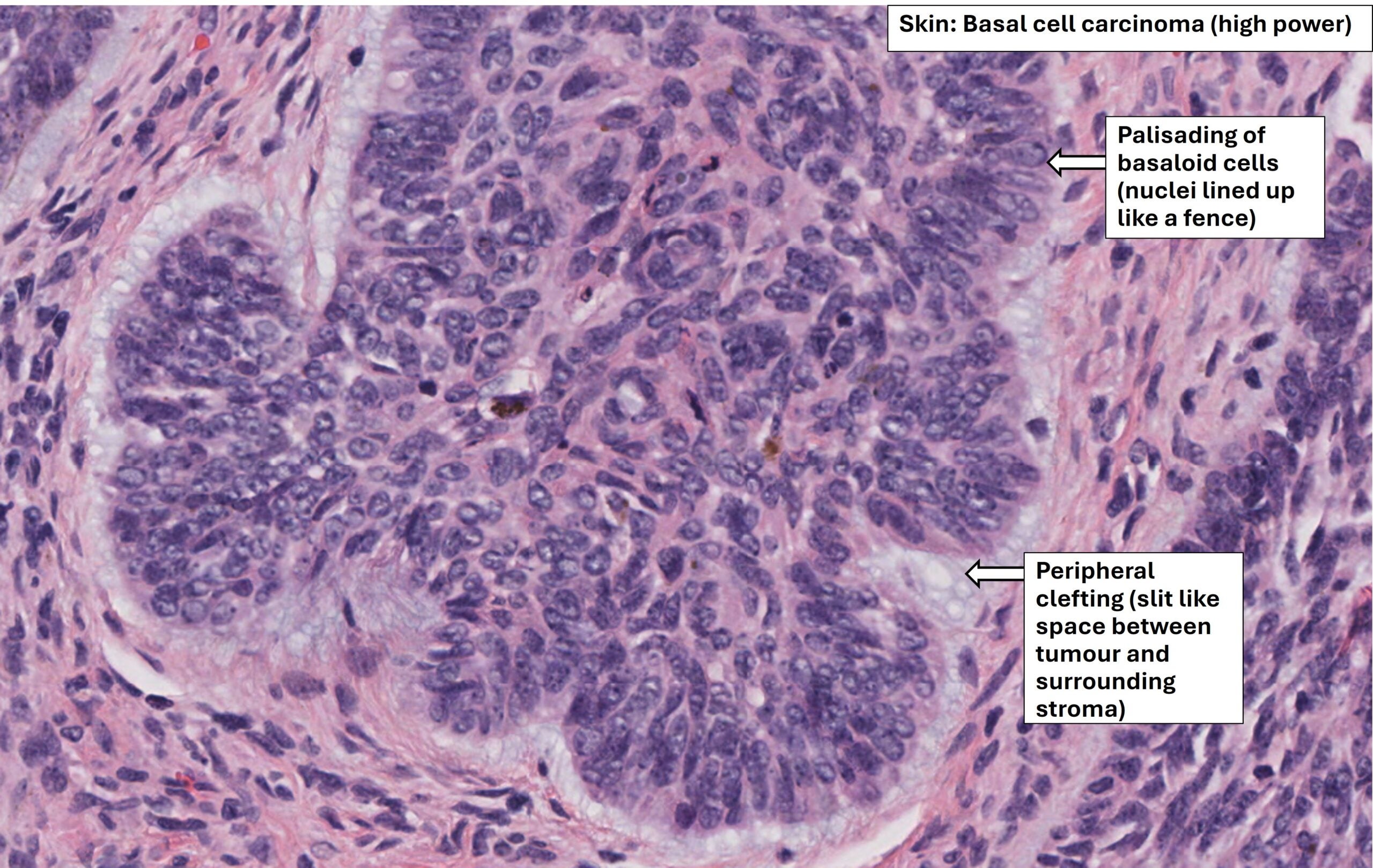
Skin: Basal cell carcinoma Microscopy - Talking slide
If you can't play the video, watch it here on Vimeo: https://vimeo.com/891345040
Virtual Pots
Non-neoplastic
- Abscess (02411)
- Fibrocystic change (01146)
- Fibrocystic change (02156)
- Fibrocystic change (02263)
- Fibrocystic change (04796)
- Fibrocystic change (00605)
- Fibrocystic change (05076)
- Paraffinoma (bilateral foreign body reaction) (05255)
- Siliconoma (05563)
- Siliconoma (05564)
- Siliconoma (05567)
- Siliconoma (05568)
- Gynaecomastia, Male (00450)
Neoplastic
- Adenoid cystic carcinoma (03270)
- Adenoid cystic carcinoma (03271)
- Carcinoma (00000)
- Carcinoma (00600)
- Carcinoma (01130)
- Carcinoma (01131)
- Carcinoma (04987)
- Carcinoma (04988)
- Carcinoma (05624)
- Carcinoma with lymph node metastases (02120)
- Carcinoma, fungating (02066)
- Carcinoma, mucoid (03036)
- Carcinoma, mucoid with lymph node metastasis (02377)
- Fibroadenoma (02924)
- Fibroadenoma (04687)
- Fibroadenoma (01139)
- Fibroadenoma (01140)
- Fibroadenoma (04876)
- Fibroadenoma (04698)
- Fibroadenoma, giant (02225)
- Invasive ductal carcinoma (05547)
- Paget's disease (04267)
- Phyllodes tumour (00237)
- Phyllodes tumour (03403)
- Phyllodes tumour (04977)
- Phyllodes tumour, benign (03057)
- Phyllodes tumour, benign (04976)
- Phyllodes tumour, malignant (05193)
Virtual Pots
Aorta and Blood vessels:
- Normal aorta (05036)
- Atheroma with syphilitic aneurysm (02042)
- Atherosclerosis (01163)
- Atherosclerosis (01164)
- Atherosclerosis (01165)
- Atherosclerosis (03888)
- Atherosclerosis (02087)
- Atherosclerosis (04528)
- Atherosclerosis with aneurysm (01691)
- Atherosclerosis with aneurysm (02873)
- Atherosclerosis with aneurysm (04576)
- Atherosclerosis and benign nephrosclerosis (aorta with kidneys) (00414)
- Atherosclerosis and benign nephrosclerosis (aorta with kidneys) (04304)
- Aortic aneurysm (01692)
- Aortic aneurysm (vertebrae) (01693)
- Aortic aneurysm (vertebrae) (01693)
- Aortic aneurysm (aorta with heart) (01559)
- Aortic stenosis with calcification (heart)(01878)
- Dissecting aneurysm (00187)
- Dissecting aneurysm (01695)
- Dissecting aneurysm (heart with aorta)(00246)
- Dissecting aneurysm of the aorta (heart with aorta and kidney)(01369)
- Syphilitic aortitis (heart with aorta) (00703)
- Syphilitic aortitis with aortic incompetence (heart)(01688)
- Iliac vein thrombus (aorta with veins)(01716)
- Inferior vena cava - Thrombus (01717)
- Vein - Varicosity (01775)
- Vein - Thrombus (01718)
Heart:
- Normal heart (02227)
- Normal heart (05173)
- Ascariasis with purulent pericarditis (00203)
- Aortic stenosis with calcification (01878)
- Aortic dissection (heart with aorta) (00558)
- Atrial septal defect (01676)
- Atrial septal defect (01037)
- Aortic and mitral stenosis (01841)
- Aortic stenosis and regurgitation (02809)
- Brown atrophy (00579)
- Brown atrophy (01731)
- Brown atrophy (03744)
- Brown atrophy (00656)
- Cardiac aneurysm, ruptured (01773)
- Congenital hypertrophied cardiomyopathy (03657)
- Congenital cor biloculare, truncus arteriosus and aortic ring (00148)
- Dissecting aneurysm (00558)
- Dissecting aneurysm of the aorta (heart with aorta and kidney) (01369)
- Glycogen storage disease (00365)
- Infarct (03811)
- Infarct, healed (04662)
- Infarct, healed (04655)
- Infective endocarditis (00722)
- Infective endocarditis (01745)
- Infective endocarditis (00615)
- Infective endocarditis (01368)
- Infective endocarditis (01392)
- Infective endocarditis (02779)
- Hypertension with intracerebral haemorrhage and left ventricular hypertrophy (brain, heart, kidney) (00197)
- Left ventricular hypertrophy (01705)
- Left ventricular hypertrophy (01706)
- Left ventricular hypertrophy (00195)
- Left ventricular hypertrophy (00438)
- Left ventricular hypertrophy (00476)
- Left ventricular hypertrophy (04095)
- Left and right ventricular hypertrophy (04183)
- Left ventricular hypertrophy with chronic renal insufficiency (heart and kidney) (03730)
- Nephrosclerosis and left ventricular hypertrophy (kidney & heart)(04096)
- Mitral & aortic stenosis with bacterial endocarditis. infarction of brain (secondary to septic emboli) (02125)
- Myocardial infarct (01708)
- Myocardial infarct (03805)
- Myocardial infarct (04178)
- Myocardial infarct, healed (04655)
- Myocardial Infarct, healed (00706)
- Myocardial infarct with aneurysm (02608)
- Myocardial infarct with aneurysmal dilatation (01885)
- Myocardial infarct with left ventricular hypertrophy (01656)
- Myocardial infarct, ruptured (01710)
- Myocardial infarct with septal rupture (01709)
- Myocardial infarct with thrombus (02095)
- Myocardial infarction, acute (00307)
- Myocardial infarction, acute (03807)
- Myocardial infarction, acute (03814)
- Myocardial infarction, acute (03815)
- Myocardial infarction, subendocardial (04122)
- Myocardial infarction, subendocardial (03201)
- Myocardial infarction, subendocardial (03203)
- Mural thrombus with myocardial infarct (01862)
- Mural thrombus of the left ventricle (01720)
- Pericarditis (01696)
- Pericarditis (01699)
- Pericarditis (02693)
- Pericarditis, purulent (01698)
- Pericarditis, purulent (04447)
- Pericarditis, purulent (heart)(00203)
- Pericarditis with empyema (heart with lungs) (01703)
- Pericarditis with pyaemic lung abscess (lung with heart)(00205)
- Pericarditis, tuberculous (01732)
- Pericarditis, tuberculous (01733)
- Purulent pericarditis with constrictive pericarditis (heart with lungs)(01697)
- Rheumatic heart disease (00478)
- Rheumatic heart disease (01370)
- Rheumatic mitral and aortic stenosis (01742)
- Rheumatic heart disease with mitral and aortic stenosis (00872)
- Rheumatic heart disease with mitral and aortic stenosis (04560)
- Rheumatic valvulitis (04441)
- Subendocardial infarction (03200)
- Toxaemia of pregnancy (heart and liver) (01502)
- Truncus arteriosus, high ventricular septal defect, dysplastic truncal valve (heart with lungs) (04778)
- Ventricular septal defect (01671)
- Ventricular septal defect and brain abscess (00143)
Others:
Virtual Pots
Normal
Infectious
- Abscess (00019)
- Abscess (00020)
- Abscess (00021)
- Abscess (00023)
- Abscess following otitis media (00101)
- Abscess. Lung bronchiectasis (04336)
- Malaria (00033)
- Malaria (Petechial haemorrhage) (04097)
- Meningitis, purulent (00016)
- Meningitis, purulent (02158)
- Meningitis, purulent (04378)
- Meningitis, tuberculous (00024)
- Meningitis, tuberculous (00028)
- Meningitis, tuberculous (01772)
- Meningitis, tuberculous (04090)
- Tuberculosis (00026)
Vascular
- Berry aneurysm, circle of willis - (03299)
- Berry aneurysm, circle of willis (03606)
- Berry aneurysm, circle of willis (03605)
- Cerebral haemorrhage (02033)
- Cerebral haemorrhage (02944)
- Cerebral haemorrhage (02218)
- Cerebral haemorrhage (03570)
- Extradural haemorrhage (01896)
- Extradural haemorrhage (02682)
- Fat embolism (00675)
- Infarct (00013)
- Infarct (00814)
- Infarct (04149)
- Infarct (04534)
- Infarct (05333)
- Intracerebral haemorrhage (00006)
- Intracerebral haemorrhage (00149)
- Intracerebral haemorrhage (02173)
- Intracerebral haemorrhage (02220)
- Intracerebral haemorrhage (02221)
- Intracerebral haemorrhage (03570)
- Subarachnoid haemorrhage (00147)
- Subarachnoid haemorrhage (04389)
- Subarachnoid haemorrhage (04418)
- Subarachnoid haemorrhage due to berry aneurysm (03611)
- Ruptured berry aneurysm with subarachnoid haemorrhage (04393)
- Subdural haematoma, old (00005)
Neoplastic
- Astrocytoma (03721)
- Astrocytoma (03740)
- Craniopharyngioma (04385)
- Ependymoma with hydrocephalus (00050)
- Glioblastoma (02073)
- Glioblastoma (02184)
- Medulloblastoma (00045)
- Meningioma (00062)
- Meningioma (03886)
- Meningioma (--)
- Meningioma (00159)
- Pituitary adenoma (02927)
- Pituitary adenoma (02930)
- Pituitary adenoma (02931)
- Pituitary adenoma (03031)
- Secondary carcinoma (00668)
Others
Virtual Pots
Uterus and Adnexae
Normal
Uterus and fallopian tube
Non-neoplastic
- Endometrial polyp (01765)
- Adenomyosis (05135)
- Adenomyosis (05139)
- Adenomyosis (05140)
- Adenomyosis (05420)
- Adenomyosis (05421)
- Adenomyosis endometriotic cyst of the ovary (05273)
- Bi-cornuate uterus (03831)
- Corpus luteum cyst (01239)
- Endometriotic cyst (04814)
- Endometriotic cyst (05272)
- Endometriosis (00123)
- Hydrosalpinx (01277)
- Nabothian cyst (cervix)(02405)
- Tubal ectopic pregnancy (04264)
- Tubo-ovarian abscess (03437)
- Tubo-ovarian abscess (bilateral) (04411)
- Tubo-ovarian abscess (04773)
- Tubo-ovarian abscess (05400)
- Tubal ectopic pregnancy (01928)
Neoplastic
- Carcinoma of cervix with hydronephrosis (01274)
- Cervical carcinoma (01273)
- Cervical carcinoma (03267)
- Cervical carcinoma (03687)
- Cervical carcinoma (04213)
- Cervical carcinoma (05504)
- Choriocarcinoma (Uterus) (00375)
- Choriocarcinoma (Uterus) (01267)
- Choriocarcinoma (Uterus) (01280)
- Endometrial carcinoma (03323)
- Endometrial carcinoma (03364)
- Endometrial carcinoma (04998)
- Endometrial carcinoma with ovarian carcinoma (03352)
- Hydatidiform mole (Uterus and placenta) (04820)
- Hyatidiform Mole (00162)
- Hydatidiform mole (Uterus) (02639)
- Hydatidiform mole (Uterus) (03168)
- Hydatidiform mole (Uterus) (03168)
- Hydatidiform mole (Uterus) (03185)
- Hydatidiform mole (Uterus) (03662)
- Hydatidiform Mole (Uterus) (03412)
- Invasive hydatidiform mole (02421)
- Invasive hydatidiform mole (02421)
- Leiomyoma (03952)
- Leiomyoma (04172)
- Leiomyoma (04607)
- Leiomyoma (04635)
- Leiomyoma (04999)
- Leiomyoma (05603)
- Leiomyoma with red degeneration (03414)
- Tubal ectopic pregnancy with hydatidiform mole (02394)
- Squamous cell carcinoma of cervix (Uterus) (03268)
- Squamous cell carcinoma of cervix (Uterus) (04039)
- Squamous cell carcinoma of cervix (Uterus) (04982)
Ovary
Non-neoplastic
Neoplastic
- Brenner tumour, malignant (03460)
- Carcinoma (00233)
- Cystadenoma (02347)
- Cystadenoma (02846)
- Clear cell carcinoma (03980)
- Dysgerminoma (02463)
- Fibroma (02801)
- Endometrioid carcinoma (05403)
- Granulosa cell tumour (03213)
- Krukenberg tumour (03409)
- Krukenberg tumour (03628)
- Krukenberg tumour (03629)
- Krukenberg tumour (03818)
- Krukenberg tumour (Ovary, stomach and liver) (01575)
- Mucinous cystadenoma (01250)
- Mucinous cystadenoma (04639)
- Mucinous carcinoma (Mucinous cystadenocarcinoma) (bilateral) (03845)
- Mucinous carcinoma (Mucinous cystadenocarcinoma) (03177)
- Mucinous carcinoma (Mucinous cystadenocarcinoma) (03179)
- Mucinous carcinoma (Mucinous cystadenocarcinoma) (03208)
- Mucinous carcinoma (Mucinous cystadenocarcinoma) (04611)
- Serous carcinoma (Serous cystadenocarcinoma) (00232)
- Serous carcinoma (Serous cystadenocarcinoma) (01224)
- Serous carcinoma (Serous cystadenocarcinoma) (03172)
- Serous carcinoma (Serous cystadenocarcinoma) (03419)
- Serous carcinoma (Serous cystadenocarcinoma) (03440)
- Serous carcinoma (Serous cystadenocarcinoma) (05096)
- Serous cystadenoma (00231)
- Teratoma, cystic (Dermoid cyst) (00497)
- Teratoma, cystic (Dermoid cyst) (03015)
- Teratoma, cystic (Dermoid cyst) (03065)
- Teratoma, cystic (02319)
- Teratoma, cystic (04276)
- Teratoma, cystic (04739)
- Torsion of ovarian cyst with haemorrhagic necrosis (05141)
- Thecoma (02390)
- Thecoma (03196)
Other:
- Placenta praevia and placenta accreta (04824)
- Uterus with tubal ectopic hydatidiform mole (02394)
- Bartholin's cyst (00114)
Virtual Pots
Salivary Gland:
Non-neoplastic
Neoplastic
- Pleomorphic adenoma (03774)
- Pleomorphic adenoma (03524)
- Pleomorphic adenoma (05236)
- Pleomorphic adenoma (04058)
- Warthin Tumour (05315)
Oesophagus:
Non-neoplastic
Neoplastic
- Leiomyoma (03881)
- Squamous cell carcinoma (00458)
- Squamous cell carcinoma (04610)
- Squamous Cell Carcinoma (04912)
- Carcinoma with tracheal fistula (01642)
Stomach:
Non-neoplastic
- Chronic peptic ulcer (01107)
- Chronic peptic ulcer (01568)
- Chronic peptic ulcer (00586)
- Chronic peptic ulcer (01385)
- Chronic peptic ulcer (01388)
- Chronic peptic ulcer (01565)
- Chronic peptic ulcer (02058)
- Chronic peptic ulcer (00483)
- Chronic hypertrophic gastritis (01386)
- Peptic ulcer (healed) (00321)
- Peptic ulcer (healed) (01572)
- Peptic ulcer (healed) (01566)
- Pyloric stenosis (01616)
- Congenital pyloric stenosis (01108)
- Congenital pyloric stenosis (01859)
Neoplastic
- Carcinoma (04754)
- Carcinoma (01989)
- Carcinoma (04931)
- Carcinoma (04612)
- Carcinoma (03353)
- Carcinoma (01581)
- Carcinoma (Linitis plastica) (01576)
- Carcinoma (Linitis Plastica) (03757)
- Carcinoid tumour (04754A)
- Carcinoma with lymph node metastases (02384)
- Gastrointestinal stromal tumour (02925)
- Gastrointestinal stromal tumour (03773)
- Gastrointestinal Stromal tumour (High_risk) (03771)
- Gastrointestinal Stromal tumour (High risk) (03706)
Small Bowel:
Non-neoplastic
- Caecum - Tuberculosis (03120)
- Duodenum - Chronic ulcer with erosion of artery (04551)
- Duodenum - Multiple ulcers (02328)
- Duodenum - Perforated ulcer (02332)
- Intestine - Tuberculosis with perforation (04048)
- Intestine - Intussusception (01626)
- Intestine - Intussusception (01949)
- Intestine - Tuberculosis (04200)
- Ileum - Meckel's diverticulum (04923)
- Ileum - Meckel's diverticulum (00625)
- Ileum - Meckel's diverticulum (02165)
- Ileum - Endometriosis (00123)
- Ileum - Endometriosis (00123)
- Ileum - Tuberculous ulcers (00140)
- Ileum - Enterogenous cyst (02491)
- Liver with Upper GIT and lungs - Ascariasis (01442)
- Omentum - Fat necrosis (01031)
- Small Intestine - Intusussception (02074)
- Small Intestine - Meckel's diverticulum (03861)
- Small Intestine - Tuberculosis (03546)
- Small Intestine - Tuberculosis (01613)
- Small intestine - Tuberculous Ileitis (00452)
- Small Intestine - Acute congestion (Strangulation) (00799)
- Small intestine - Leiomyosarcoma (03634)
Neoplastic
- Duodenum - Ampullary adenocarcinoma with nodal metastases (05513)
- Duodenum - Neuroendocrine tumour (04936)
- Intestine - Gastrointestinal stromal tumour (00582)
- Jejunum - Gastrointestinal stromal tumour (03766)
- Jejunum - Gastrointestinal stromal tumour (05239)
- Jejunum - Gastrointestinal stromal tumour (01987)
- Jejunum - Gastrointestinal stromal tumour (03760)
- Small Intestine - Villous adenoma (04275)
- Small Intestine - Lymphoma (01902)
Appendix and Large Bowel:
Non-neoplastic
- Appendix - Acute appendicitis (01660)
- Appendix - Acute appendicitis (00344)
- Appendix - Acute appendicitics (00454)
- Appendix - Acute appendicitis (01167)
- Appendix - Acute appendicitis (05366)
- Appendix - Acute Appendicitis (03545)
- Appendix - Acute appendicitis with faecaliths (05235)
- Appendix - Acute suppurative appendicitis (05234)
- Appendix - Diverticulosis (00646)
- Large Intestine - Diverticular disease (04359)
- Colon - Crohn's disease (03752)
- Colon - Ulcerative colitis (01798)
- Colon - Ulcerative colitis (01801)
- Colon - Hirschsprung disease (01652)
- Colon - Hirschsprung disease (01653)
- Colon - Tuberculosis (02984)
- Colon - Tuberculosis (04110)
Neoplastic
- Colon - Adenocarcinoma (05084)
- Colon - Adenocarcinoma (01632)
- Colon - Adenocarcinoma (05519)
- Colon - Adenocarcinoma (05080)
- Colon - Adenocarcinoma with lymph node metastases (01195)
- Colon - Polyposis with adenocarcinoma of rectum (01564)
- Colon - Polyposis (05220)
- Colon - Polyposis coli (03708)
- Colon - Polyposis Coli (04806)
- Colon - Polyposis with carcinoma (04756)
- Colon - Polyposis with carcinoma (05043)
- Colon - Polyposis with intussusception (01623)
- Colon - Polyposis with intussusception (01628)
- Intestine - Leiomyoma (03165)
- Intestine - Leiomyoma (03183)
- Intestine_Intravenous infarction. Strangulation (04056)
- Rectum - Adenocarcinoma (01546)
- Rectum - Adenocarcinoma (00751)
- Rectum - Adenomatous Polyp (02921)
Others:
Virtual Pots
Lymph Nodes
Non-neoplastic
- Tuberculosis (Mesenteric) (00850)
- Tuberculosis (Mesenteric) (00191)
- Tuberculosis (Mesenteric) (00192)
- Tuberculosis with primary complex (lung and lymph nodes) (01297)
- Tuberculosis (lung with lymph nodes) (01411)
- Eosinophilic granuloma (Langerhans cell histiocytosis) (03350)
Neoplastic
- Breast carcinoma with nodal metastases (02120)
- Burkitt lymphoma (03390)
- Hodgkin lymphoma (00340)
- Hodgkin lymphoma (00849)
- Large cell lymphoma (02798)
- Leukaemia (00851)
- Lymphoma (04644)
- Lymphoma (02662)
- Lymphoma (01629)
- Metastatic carcinoma from lung (00746)
Spleen and Others
Non-neoplastic
- Congestive splenomegaly (05026)
- Gaucher disease (00836)
- Infarct (04690)
- Malaria (01991)
- Malaria (01999)
- Malaria (01992)
- Infarct (Old) (02094)
- Miliary tuberculosis (00391)
- Miliary tuberculosis (00525)
- Tuberculosis (02290)
- Tuberculosis (02291)
- Tuberculosis (00822)
Neoplastic
- Burkitt lymphoma (Mandible)(00129)
- Hodgkin lymphoma (00376)
- Hodgkin lymphoma (00816)
- Hodgkin lymphoma (01945)
- Hodgkin lymphoma (00741)
- Leukaemia (00829)
- Leukaemia (01937)
- Leukaemia (00830)
- Leukaemia (Kidney & spleen) (02960)
- Leukaemia (Kidney & spleen)(02961)
- Leukaemia (Spleen, bone, kidney and liver)(00832)
- Leukaemia (Liver, spleen, kidney, bone and brain)(02953)
- Leukaemia (Spleen, bone, liver, kidney and brain) (02954)
- Lymphoma (03728)
- Lymphoma (03729)
- Lymphoma (03726)
- Lymphoma (05151)
- Lymphoma (05155)
- Lymphoma (02273)
- Myeloma (skull) (1088)
- Myeloma (vertebrae) (01083)
- Myeloma, multiple (ribs) (01081)
- Non-Hodgkin lymphoma (03488)
- Non-Hodgkin lymphoma (03483)
- Non-Hodgkin lymphoma (00131)
- Secondary carcinoma (02724)
- Thymoma (05306)
Virtual Pots
Gallbladder
- Acute cholecystitis (04780)
- Acute cholecystitis (04798)
- Acute on chronic cholecystitis (05082)
- Acute on chronic cholecystitis (03432)
- Acute on chronic cholecystitis (03763)
- Acute on chronic cholecystitis (03471)
- Acute haemorrhagic cholecystitis (04880)
- Acute haemorrhagic cholecystitis (05032)
- Carcinoma (04766)
- Carcinoma (05031)
- Carcinoma (00585)
- Chronic cholecystitis (00455)
- Chronic cholecystitis (05107)
- Chronic cholecystitis (04791)
- Chronic cholecystitis (gbc)
- Chronic cholecystitis (00456)
- Cholecystitis with cholelithiasis (00217)
- Empyema (05390)
- Gangrenous cholecystitis (05388)
- Gallstone from choledochal cyst (04406)
Liver
Non-neoplastic
- Actinomycosis (00991)
- Actinomycosis (00992)
- Amoebic abscess (02240)
- Amoebic abscess (00881)
- Amoebic abscess (01432)
- Amoebic abscess (multiple) (01509)
- Amyloidosis (01482)
- Amyloidosis (01478)
- Amyloidosis (01479)
- Ascariasis (liver with upper GIT and lungs) (01442)
- Ascariasis (liver with upper GIT and lungs) (01442)
- Biliary atresia (01512)
- Biliary cirrhosis (05444)
- Biliary cirrhosis (05445)
- Biliary cirrhosis (05188)
- Biliary cirrhosis (05458)
- Biliary cystadenoma (05551)
- Choledochal cysts (03166)
- Congenital hepatic fibrosis (01848)
- Cholesterolosis (02853)
- Choledocholithiasis (01469)
- Choledocholithiasis (liver and gallbladder) (02778)
- Cholangitic abscess (04180)
- Cholangitic abscess (04199)
- Chronic venous congestion (01963)
- Chronic venous congestion (01964)
- Chronic venous congestion (01323)
- Chronic venous congestion (04324)
- Cirrhosis (01403)
- Cirrhosis (02091)
- Cirrhosis (00223)
- Cirrhosis (01496)
- Cirrhosis (04846)
- Cirrhosis (05627)
- Cirrhosis (05641)
- Cirrhosis (05642)
- Cirrhosis, cholelithiasis (01155)
- Cirrhosis, cholelithiasis (01499)
- Cirrhosis with oesophageal varices (liver with oesophagus) (01395)
- Cirrhosis and oesophageal varices (oesophagus) (01812)
- Cyst (04487)
- Fatty change (03800)
- Fatty Change (01484)
- Glycogen storage disease (05358)
- Gumma (Tertiary syphilis) (01445)
- Haemochromatosis (04697)
- Haemochromatosis (liver & pancreas) (04713)
- Haemochromatosis with cirrhosis (01490)
- Haemochromatosis, haemosiderosis (02964)
- Haemochromatosis, liver cirrhosis and hepatocellular carcinoma (01127)
- Haemochromatosis with hepatocellular carcinoma (01179)
- Intrahepatic cholelithiasis (01172)
- Metastatic leiomyosarcoma (05265)
- Polycystic disease, adult type (03233)
- Polycystic disease (03045)
- Polycystic disease (00694)
- Polycystic disease (00693)
- Primary sclerosing cholangitis (05619)
- Recurrent pyogenic cholangitis (Secondary to liver flukes) (01471)
- Staphylococcal abscess (01516)
- Syphilis (Hepar lobatum) (02501)
- Toxaemia of Pregnancy (01500)
Neoplastic - Benign
Neoplastic - Malignant
- Acute leukaemia (01522)
- Acute leukaemia (01523)
- Acute leukaemia (01524)
- Acute leukaemia (01520)
- Biliary cystadenocarcinoma (04425)
- Choriocarcinoma of the testis with liver metastases (00545)
- Metastatic gastrointestinal stromal tumour (05264)
- Cholangiocarcinoma (01543)
- Cholangiocarcinoma (00692)
- Cholangiocarcinoma (01995)
- Cholangiocarcinoma (04490)
- Cholangiocarcinoma (04520)
- Cholangiocarcinoma (05464)
- Cirrhosis with hepatocellular carcinoma (05534)
- Cirrhosis with hepatocellular carcinoma (03890)
- Hepatoblastoma (03604)
- Hepatoblastoma (01398)
- Hepatocellular carcinoma, multifocal (02368)
- Hepatocellular carcinoma (00175)
- Hepatocellular carcinoma (01562)
- Hepatocellular carcinoma (04157)
- Hepatocellular carcinoma (02020)
- Hepatocellular carcinoma (03242)
- Hepatocellular carcinoma (04124)
- Hepatocellular carcinoma (04142)
- Hepatocellular carcinoma (04202)
- Hepatocellular carcinoma (05386)
- Hepatocellular carcinoma, diffuse (05023)
- Hepatocellular carcinoma, diffuse (05025)
- Hepatocellular carcinoma, background cirrhosis (05189)
- Hepatocellular carcinoma, background cirrhosis (05190)
- Hepatocellular carcinoma, background cirrhosis (05639)
- Metastatic carcinoma (03490)
- Metastatic carcinoma (01996)
- Metastatic carcinoma (01997)
- Secondary carcinoma (03492)
- Secondary carcinoma (01557)
- Secondary retinoblastoma (02140)
- Secondary neuroblastoma (04163)
Pancreas
- Acute haemorrhagic pancreatitis (01381)
- Acute haemorrhagic pancreatitis (04504)
- Acute haemorrhagic pancreatitis (03588)
- Acute haemorrhagic pancreatitis (00691)
- Acute haemorrhagic pancreatitis (01621)
- Ampullary carcinoma (04033)
- Ampullary carcinoma (05345)
- Adenocarcinoma (00587)
- Adenocarcinoma (05623)
- Adenocarcinoma (05654)
- Adenocarcinoma (04646)
- Adenocarcinoma (05622)
- Adenocarcinoma (04338)
- Adenocarcinoma (04338)
- Fat necrosis (04125)
- Mucinous cystic neoplasm (03777)
- Mucinous cystic neoplasm of distal pancreas (04245)
- Mucinous cystic neoplasm of distal pancreas (04245)
- Neuroendocrine tumour (01375)
- Neuroendocrine tumour (04006)
- Neuroendocrine tumour (03645)
- Neuroendocrine tumour (04325)
- Neuroendocrine tumour (04184)
- Serous cystadenoma (03720)
- Serous cystadenoma (04498)
- Solid pseudopapillary neoplasm of pancreas (04208)
Virtual Pots
Bone Diseases
Non-Neoplastic
- Abscess (vertebrae) (02034)
- Healing fracture (tibia) (00870)
- Osteomyelitis (00413)
- Osteomyelitis (mandible) (00753)
- Osteomyelitis (sternum) (01079)
- Osteoporosis with compression fractures (vertebrae) (00760)
- Pott's disease (vertebrae) (01969)
- Rickets (ribs) (00756)
- Solitary (Simple bone cyst) (fibula) (00378)
- Syphilitic gummata (Sternum) (02712)
- Thalassaemia (skull) (00768)
Neoplastic
- Aneurysmal bone cyst (ulna) (03399)
- Chondrosarcoma (ribs) (00327)
- Chondrosarcoma (rib) (rb)
- Chondrosarcoma (pelvis) (04454)
- Chordoma (sacrum) (03127)
- Ewing sarcoma (clavicle) (03515)
- Ewing sarcoma (clavicle)_(03516)
- Giant cell tumour (knee) (03261)
- Giant cell tumour (humerus) (03590)
- Giant cell tumour (right humerus) (03587)
- Giant cell tumour (tibia) (03709)
- Giant cell tumour with tumour embolus (03357)
- Giant cell tumour with tumour embolus (03358)
- Infarct (fibula) (03959)
- Langerhans cell histiocytosis (skull) (00183)
- Malignant melanoma (foot) (03264)
- Metastatic nasopharyngeal carcinoma (vertebrae) (00210)
- Metastatic cancer (neuroblastoma) (femur) (00765)
- Myeloma, multiple (ribs) (01081)
- Myeloma, multiple (ribs) (01080)
- Myeloma, multiple (ribs) (01082)
- Myeloma (skull) (01088)
- Myeloma (vertebrae) (01083)
- Osteochondroma (03387)
- Osteochondroma (04204)
- Osteochondroma (04861)
- Osteochondroma (03792)
- Osteosarcoma (04772)
- Osteosarcoma (04755)
- Osteosarcoma (03769)
- Osteosarcoma (03911)
- Osteosarcoma (04226)
- Osteosarcoma (knee) (00109)
- Osteosarcoma (tibia) (00110)
- Osteosarcoma (humerus) (03768)
- Osteosarcoma (lower limb) (02769)
- Osteosarcoma (upper limb) (03585)
- Osteoid osteoma (04869)
- Secondary neuroblastoma (femur) (01077)
Joint Diseases
- Bursal cyst (bursa) (05284)
- Bursitis (bursa) (05241)
- Gout (finger) (00758)
- Loose body (hip joint) (05099)
- Osteoarthritis (tibia) (04399)
- Rheumatoid arthritis (tibia) (03517)
- Rheumatoid arthritis (synovitis) (04297)
- Synovial chondromatosis (03693)
- Syphilis charcot joint (knee joint) (01450)
- Tenosynovial giant cell tumour (Nodular tenosynovitis) (04868)
- Tenosynovial giant cell tumour, diffuse type (Villonodular synovitis) (knee) (03502)
Soft tissue diseases
Non-neoplastic
Neoplastic
Lipomatous tumours
- Atypical lipomatous tumour (04017)
- Atypical lipomatous tumour (00462)
- Liposarcoma, retroperitoneum (03221)
- Liposarcoma, myxoid (thigh) (03464)
- Liposarcoma, myxoid (thigh) (03465)
- Liposarcoma, myxoid (02635)
Nerve Sheath Tumours
- Schwannoma (brachial plexus)(02935)
- Schwannoma (Neurilemmoma) (03094)
- Malignant peripheral nerve sheath tumour (Right scapular region) (03607)
Vascular tumours
Others
Virtual Pots
Upper Respiratory Tract
- Nasal polyps (05633)
- Larynx - Tuberculosis (01340)
- Larynx - Tuberculosis (01339)
- Diphtheria (01345)
- Diphtheria (01347)
- Nasopharyngeal carcinoma (01448)
- Nasopharyngeal carcinoma (01918)
- Larynx - Carcinoma (04436)
- Larynx - Carcinoma (02089)
- Larynx - Carcinoma (01342)
- Larynx - Squamous cell carcinoma (04141)
- Larynx - Metastatic carcinoma (02104)
- Larynx - Oedema of glottis (02880)
- Larynx - Airway obstruction by foreign body (fruit) (03602)
- Larynx - Carcinoma with massive cervical lymph node metastases (01341)
- Hypopharynx - Carcinoma with lymph node metastases (03088)
- Pharynx and larynx – Oedema (allergic reaction) (01591)
Lung:
Non-neoplastic
- Abscess (04694)
- Abscesses (02337)
- Abscesses (Multiple) (04588)
- Anthracosis (04548)
- Bronchopneumonia (02856)
- Bronchopneumonia (00542)
- Bronchopneumonia (01301)
- Bronchopneumonia (01310)
- Bronchopneumonia (01312)
- Bronchiectasis (01318)
- Bronchiectasis (01415)
- Bronchietasis (00517)
- Bronchiectasis (01422)
- Bronchiectasis (04462)
- Bronchiectasis (04484)
- Bronchiestasis (04483)
- Bronchiectasis. Brain - Abscess (04336)
- Chronic venous congestion (Brown induration) (01323)
- Chronic venous congestion (00663)
- Chronic venous congestion (01324)
- Emphysema (00710)
- Emphysema (00247)
- Emphysema (04593)
- Emphysema (04554)
- Emphysema (04080)
- Emphysema (01350)
- Foreign body airway obstruction (Peanut) (01322)
- Healed pleuritis (03021)
- Heart with lungs - Thromboembolism (02887)
- Lobar pneumonia (03822)
- Lobar pneumonia (03820)
- Lobar pneumonia (03825)
- Lobar pneumonia (00463)
- Pulmonary embolism (02777)
- Pulmonary embolism (03826)
- Pulmonary tuberculosis (01302)
- Silicosis (01810)
- Silicosis (01809)
- Silicosis (01808)
- Silicosis (03176)
- Silicosis (03630)
- Tuberculous bronchopneumonia with cavitation (00385)
- Tongue with larynx - Ulceration tuberculosis (01337)
- Tuberculosis with cavitation (01828)
- Tuberculosis with cavitation (advanced) (01303)
- Tuberculosis (lngt)
- Tuberculosis (01314)
- Tuberculosis (02122)
- Tuberculosis with primary complex (lung and lymph nodes) (01297)
- Tuberculosis (lung with lymph nodes) (01411)
- Tuberculosis (lung and larynx) (01288)
- Tuberculosis (lung with heart) (01596)
- Tuberculosis, primary complex (lung with heart) (01299)
Neoplastic
- Adenocarcinoma (04535)
- Bronchogenic carcinoma (01414)
- Bronchogenic carcinoma (04688)
- Carcinoma (01038)
- Carcinoma (02278)
- Mesothelioma (05085)
- Mesothelioma (05040)
- Mesothelioma (05064)
- Mesothelioma (05065)
- Mesothelioma (05088)
- Metastatic carcinoma (02135)
- Metastatic carcinoma (01406)
- Metastatic carcinoma (01412)
- Metastatic carcinoma (02008)
- Metastatic choriocarcinoma (03256)
VIRTUAL POTS
NON-NEOPLASTIC
- Accessory tragus (ear) (02574)
- Calcinosis cutis (05232)
- Carbuncle (05242)
- Carbuncle (05243)
- Carbuncle (03320)
- Cutaneous horn (05589)
- Epidermal cyst (05075)
- Epidermal cyst (05663)
- Fistula in ano (05052)
- Gangrene (foot) (05097)
- Gangrene (toes) (05632)
- Keloid (05542)
- Keloid (05648)
- Keloid (05650)
- Keloid (elbow) (05645)
- Syphilitis tertiary (Gumma) (01449)
- Tuberous xanthoma (01063)
- Tumoral calcinosis (hip region) (03328)
- Ulcer (01041)
NEOPLASTIC
BENIGN
- Cavernous haemangioma (02630)
- Cavernous haemangioma (02631)
- Cavernous haemangioma (02633)
- Cavernous haemangioma (02634)
- Cavernous haemangioma (02632)
- Dermatofibroma (05467)
- Dermatofibrosarcoma protuberans (00425)
- Dermatofibrosarcoma protuberans (00426)
- Dermatofibrosarcoma protuberans (03130)
- Dermatofibrosarcoma protuberans (03134)
- Fibroepithelial polyp (05658)
- Lipoma (thigh) (04466)
- Lipoma (04047)
- Neurofibromatosis (01026)
- Neurofibroma (01056)
- Pilomatrixoma (04955)
- Schwannoma (Neurilemmoma) (03783)
- Schwannoma (Neurilemmoma) (02829)
- Subcutaneous tissue lymphangioma (00164)
MALIGNANT
- Basal cell carcinoma (03283)
- Dermatofibrosarcoma protuberans with malignant transformation (00332)
- Dermatofibrosarcoma protuberans with malignant transformation (00333)
- Malignant melanoma (foot) (00372)
- Malignant melanoma (foot) (03264)
- Sebaceous carcinoma (scalp) (01067)
- Sebaceous carcinoma (01971)
- Squamous cell carcinoma (verrucous) (heel) (03562)
- Squamous cell carcinoma (04606)
- Squamous cell carcinoma (leg) (00711)
- Squamous cell carcinoma (leg) (00712)
- Squamous cell carcinoma (verrucous) (03671)
- Squamous cell carcinoma (maxilla) (05138)
OTHERS
Virtual Pots
Thyroid
Non-neoplastic
- Graves disease (03454)
- Graves disease (03455)
- Graves disease (05057)
- Graves disease (00500)
- Hashimoto thyroiditis (00896)
- Hashimoto thyroiditis (01793)
- Hashimoto thyroiditis (05584)
- Hashimoto thyroiditis (05583)
- Multinodular goitre (05013)
- Multinodular goitre (05528)
- Multinodular goitre (00618)
- Multinodular goitre (00885)
- Multinodular goitre (00431)
Neoplastic
- Follicular adenoma (02259)
- Follicular adenoma (02615)
- Follicular carcinoma (00357)
- Papillary carcinoma (03355)
- Papillary carcinoma (05122)
- Papillary carcinoma (05121)
- Primary carcinoma (00897)
- Medullary carcinoma (04051)
- Medullary carcinoma (03285)
- Thyroid with larynx and tongue: Primary carcinoma (03894)
- Thyroid & lung: Primary thyroid carcinoma with lung secondaries (02570)
Parathyroid
Adrenal
- Adrenal cortical adenoma (Adrenocortical adenoma) (01864)
- Adrenal cortical adenoma (Adrenocortical adenoma) (02613)
- Adrenal cortical adenoma (Adrenocortical adenoma) (03937)
- Adrenal cortical adenoma (Adrenocortical adenoma) (04870)
- Adrenal cortical adenoma_(Adrenocortical adenoma) (03583)
- Adrenal cortical adenoma (Adrenocortical adenoma) (03961)
- Adrenal cortical adenoma (Adrenocortical adenoma) (02831)
- Adrenal cortical carcinoma (Adrenocortical adenoma) (00862)
- Adrenal cortical carcinoma (Adrenocortical adenoma) (00864)
- Adrenal cortical carcinoma (Adrenocortical carcinoma) (02569)
- Adrenal cortical carcinoma (Adrenocortical carcinoma) (03394)
- Adrenal cortical carcinoma (Adrenocortical carcinoma) (03699)
- Adrenal haemorrhage, massive (Waterhouse-Friderichsen syndrome) (00858)
- Ganglioneuroma (05391)
- Ganglioneuroma (05313)
- Ganglioneuroma (00096)
- Histoplasmosis (03244)
- Histoplasmosis (03572)
- Histoplasmosis (03575)
- Histoplasmosis (00946)
- Histoplasmosis (03246)
- Neuroblastoma (04154)
- Neuroblastoma (00108)
- Neuroblastoma (01835)
- Neuroblastoma (04658)
- Neuroblastoma (04673)
- Neuroblastoma (03569)
- Phaeochromocytoma (05367)
- Phaeochromocytoma (04703)
Others
Virtual Pots
Kidney, Ureters and Bladder
Non-neoplastic
- Atherosclerosis and benign nephrosclerosis (Aorta with kidneys) (04304)
- Acute pyelonephritis (00951)
- Acute rejection (transplanted) (03144)
- Atherosclerosis and benign nephrosclerosis (Aorta with kidneys) (00414)
- Acute tubular necrosis (00282)
- Acute tubular necrosis (04280)
- Acute tubular necrosis (02983)
- Amyloidosis (00974)
- Atrophy (04320)
- Atrophy of one kidney (03879)
- Benign nephrosclerosis (00572)
- Benign nephrosclerosis and diabetic glomerulosclerosis (00144)
- Benign nephrosclerosis and diabetic glomerulosclerosis (01908)
- Benign nephrosclerosis and diabetic glomerulosclerosis (01909)
- Calculus (00913)
- Chronic pyelonephritis (02121)
- Chronic pyelonephritis (04094)
- Cortical necrosis (02163)
- Cortical necrosis (00139)
- Cortical necrosis (00279)
- Congenital polycystic disease (04511)
- Diverticulum (00761)
- End-stage kidney (00968)
- End-stage kidney (02079)
- End stage kidney (01904)
- End-stage kidney (00199)
- End stage kidney (00965)
- End stage kidney (02101)
- Hydronephrosis with staghorn calculus (00295)
- Hydronephrosis with staghorn calculus (00296)
- Hydronephrosis with staghorn calculus (02105)
- Hydronephrosis with tuberculosis (02019)
- Hydronephrosis with ureteric calculus (01921)
- Hydronephrosis with ureteric calculus (00293)
- Hydronephrosis with ureteric calculus (02149)
- Hydronephrosis with ureteric calculus (00292)
- Hydronephrosis with nephrolithiasis and chronic pyelonephritis (00294)
- Hydronephrosis with nephrolithiasis and chronic pyelonephritis (00297)
- Horseshoe kidney (00261)
- Infarct (01816)
- Infarct (00277)
- Nephroblastoma (02302)
- Nephroblastoma (05416)
- Nephroblastoma (03427)
- Nephroblastoma (04076)
- Nephroblastoma (05489)
- Nephrotic syndrome (membranous glomerulopathy) (03240)
- Polyarteritis nodosa (Kidney, intestine and liver) (00976)
- Polycystic disease, adult type (Kidney, liver and pancreas) (03233)
- Polycystic disease (Kidney and liver) (03045)
- Polycystic disease (Kidney and liver) (00654)
- Polycystic disease (00969)
- Polycystic disease (00268)
- Polycystic disease (00265)
- Polycystic disease (00267)
- Polycystic disease (01361)
- Polycystic disease (Liver, pancreas and kidney) (03234)
- Pyaemic abscess (01818)
- Renal adenoma (00941)
- Simple renal cyst (00287)
- Simple renal cyst (00285)
- Simple renal cyst (00288)
- Staghorn calculus (02132)
- Tuberculous pyelonephritis (02266)
- Tuberculous pyelonephritis (00397)
- Tuberculous pyelonephritis (03837)
- Tuberculosis (03925)
- Tuberculosis (04747)
- Tuberculosis (04738)
- Xanthogranulomatous pyelonephritis (03849)
Neoplastic
- Chronic myeloid leukaemia (00931)
- Nephroblastoma (01197)
- Renal cell carcinoma (03080)
- Renal cell carcinoma (03912)
- Renal cell carcinoma (05202)
- Renal cell carcinoma (05475)
- Renal cell carcinoma (05665)
- Renal cell carcinoma (00347)
- Renal cell carcinoma (00918)
- Renal cell carcinoma (03180)
- Renal cell carcinoma (03335)
- Renal cell carcinoma (04640)
- Renal cell carcinoma (05201)
- Renal pelvis urothelial carcinoma (03654)
- Renal pelvis urothelial carcinoma (00919)
- Renal pelvis urothelial carcinoma (04723)
- Renal pelvis urothelial carcinoma with hydronephrosis (00925)
- Squamous cell carcinoma (00907)
- Squamous cell carcinoma (04790)
- Urothelial carcinoma (02836)
- Urothelial carcinoma (00906)
- Urothelial carcinoma (00137)
- Urothelial carcinoma (03110)
- Urothelial carcinoma (01795)
- Urothelial carcinoma (00531)
- Urothelial carcinoma (00521)
- Urothelial carcinoma (00905)
- Urothelial carcinoma (00521)
- Urothelial carcinoma of renal pelvis and ureter (04201)
- Urothelial carcinoma of bladder with hydronephrosis of kidney and renal calculus (00909)
- Urothelial carcinoma (Ureter with kidney) (05225)
Prostate, Testis
- Benign prostatic hyperplasia with bladder hypertrophy (Bladder & prostate) (01823)
- Benign prostatic hyperplasia with bladder hypertrophy (Bladder & prostate)(01211)
- Benign prostatic hyperplasia (04011)
- Benign prostatic hyperplasia (01832)
- Benign prostatic hyperplasia (02392)
- Benign prostatic hyperplasia (04037)
- Benign prostatic hyperplasia (03041)
- Benign prostatic hyperplasia with hydroureter and hydronephrosis (02059)
- Benign prostatic hyperplasia (Prostate and urinary bladder) (02086)
- Benign prostatic hyperplasia with hydroureter and hydronephrosis (01221)
- Benign prostatic hyperplasia with hydroureter and hydronephrosis (04704)
- Choriocarcinoma of the testis with liver metastases (Testis & liver)(00545)
- Embryonal carcinoma (01181)
- Embryonal carcinoma (00526)
- Hydrocoele (02447)
- Hydrocoele (03913)
- Hydrocoele (02808)
- Oedema (01942)
- Prostatic carcinoma (00176)
- Prostatic carcinoma (01210)
- Strangulation due to torsion of spermatic cord (00157)
- Seminoma (00384)
- Seminoma (02832)
- Seminoma (00523)
- Seminoma (03846)
- Seminoma (03331)
- Seminoma (04848)
- Tuberculous epididymitis (01105)
- Tuberculosis (01188)
- Tuberculosis (00943)
- Tuberculosis (00944)
- Torsion (Testis & epididymis)(05521)
- Torsion (Testis & epididymis)(05522)
- Teratoma (02354)
Penis, Scrotum
- Home
- Virtual Pathology Museum
- Skin – Basal Cell Carcinoma













