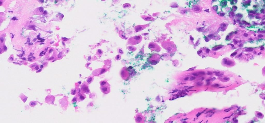
A. Mesothelial cells
The lesional cells are of mesothelial origin, as indicated by their retention of skirting and windowing, their ovoid nuclei and dense cytoplasm and the lack of a clear cut second lesional population. In the absence of a cell block for further workup, the most prudent interpretation would be to suggest the presence of atypia and recommend clinical correlation and the option of biopsy for further workup.
Subsequent peritoneal biopsy performed showed the presence of atypical sheets of mesothelial cells infiltrating into fibroadipose tissue. Immunohistochemical staining confirmed mesothelial nature, as well as BAP1 loss (no loss of p16 with FISH). Findings were thus best in keeping with malignant epithelioid mesothelioma.


This case highlights a situation where mesothelioma may not present as a cellular yield of crowded three-dimensional groups, but as singly dispersed cells with more subtle atypia. Thus, diagnosis would be more reliant on cytomorphology of individual cells. Some tips for recognising the differences:
| REACTIVE |
MALIGNANT |
| Moderately cellular |
Hypercellular |
| Monolayered sheets |
2D and 3D clusters |
| Small cell groups |
Large cell groups |
| Mild variation in cell size |
Marked variation in cell size |
| Giant/multinucleated cells often absent |
Giant/multinucleated cells present |
| No prominent cytoplasmic blebs/microvilli |
Cytoplasmic blebs/microvilli prominent |
| Mild nuclear atypia |
Pleomorphism, irregular nuclear contours, large nucleoli |
If a cell block is available, the following stains could be attempted depending on cellularity:
Markers of mesothelial lineage:
- Calretinin, CK5/6, WT-1, D2-40, EMA (membranous)
Markers of epithelial/adenocarcinoma lineage:
- mCEA, MOC-31, Ber-EP4, Claudin-4, EMA (cytoplasmic)
- Specific markers of specific adenocarcinoma types (ie TTF1, PAX8, etc).
Markers of malignancy:
- BAP1 (loss of nuclear staining), MTAP (loss of cytoplasmic staining)
CDKN2A/p16 deletion can be detected by FISH which would support mesothelioma.
The following algorithm may also be of help:
