CytoPage Quiz 2026 February

 

Question: An enlarged lymph node

A 67-year-old man presents with an enlarged left level 2 cervical lymph node. Ultrasound-guided FNA of the cervical lymph node is performed. Representative images from the smears are shown below.

No material is available for ancillary testing. Which of the following options reflects the most appropriate diagnostic category and management recommendation for this case, according to the WHO Reporting System for Lymph Node Cytopathology?

(A) Benign; Material sampled may not correlate with the clinical findings, recommend repeat FNA with ROSE and ancillary testing

(B) Benign; Recommend correlation with microbiological investigations

(C) Atypical; Recommend repeat clinical and imaging examination

(D) Suspicious for malignancy; Recommend repeat FNA with flow cytometry

(E) Malignant; Recommend core biopsy

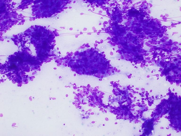
Figure 1: Hemacolor 10x

Figure 1: Hemacolor 10x

 

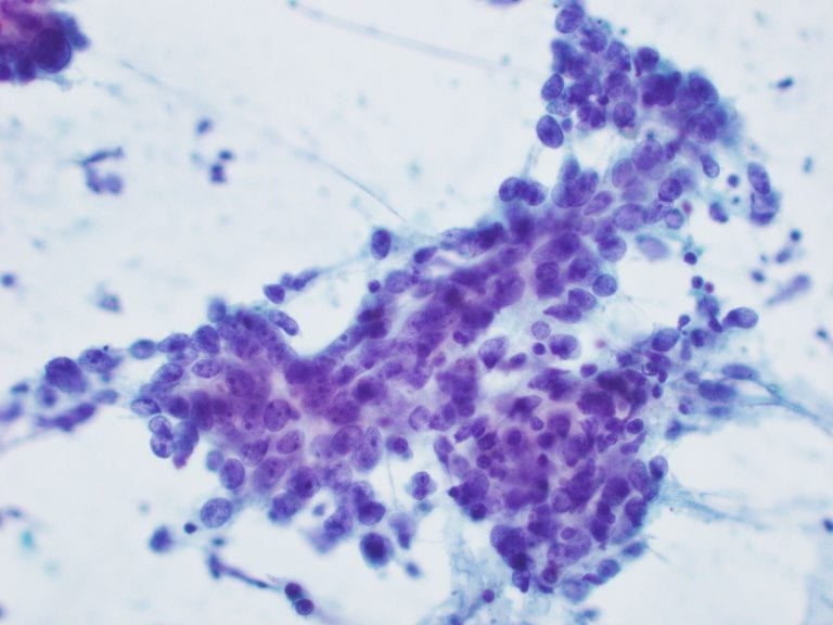
Figure 2: Hemacolor 20x

HC-20X-768x576

 

Figure 3: Pap 20x

Pap-20X-768x576

 

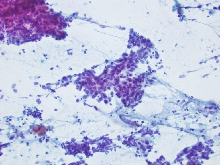
Figure 4: Pap 40x

Pap-40X-768x576

 

Quiz written by Dr Darren Chua, National University Hospital

Top