C) Metastatic clear cell renal cell carcinoma
Even in the absence of cell block and immunohistochemistry, the relatively uniform and polygonal appearance of the lesional cells, in sheets with very rich vascularity should raise suspicion of metastatic clear cell renal cell carcinoma as a main differential diagnosis. While heavy cautery and dense staining may make it hard to appreciate cytoplasmic clearing, there is a suggestion of it in the better preserved DQ image.
The lesional cells lack the pleomorphism more typical of ductal adenocarcinomas and the dyscohesion, architecture and nuclear characteristics of neuroendocrine tumours. There is an absence of acinar or papillary morphology that is often seen to an extent in lung adenocarcinomas, and no ‘dirty necrotic’ background is seen that is typical of colonic adenocarcinomas.
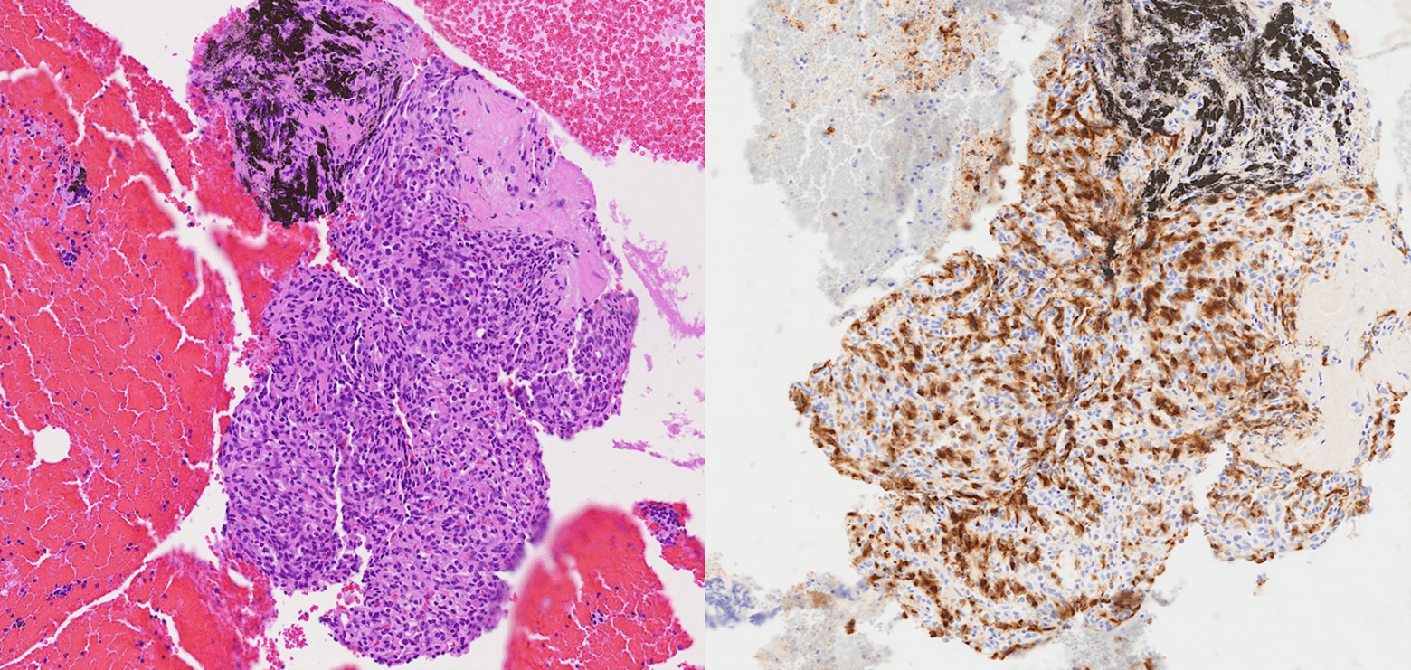
While clear cell renal cell carcinoma can be favoured, diagnostic confirmation should be made with the aid of cell block and immunohistochemistry, as was done in this case, with tumour showing characteristic clear cell morphology and positive immunostaining for RCC antigen, PAX8 and CA-IX.

H&E cell block and RCC immunohistochemistry
Regardless, in situations where material is unavailable for cell block and immunohistochemistry, and there is no known history of prior renal cell carcinoma, cytomorphology alone should be sufficient to at least raise suspicion of renal cell origin over other potential differentials.
In this case, a concurrent fine needle aspirate of the pancreatic mass yielded similar findings, and a review of patient’s past records confirmed history of nephrectomy for clear cell renal cell carcinoma over 10 years ago. The recto-sigmoid lesion was deemed to be diverticulitis; his lung nodule is of an indeterminate nature and has not yet been biopsied.