picture atlas
FINE NEEDLE ASPIRATION: salivary gland
Here are some examples of classical conditions, organised according to categories in The Milan System for Reporting Salivary Gland Cytology.
Click on the specific condition to view pic:
Milan Category: Classical cases
-
Non-neoplastic
-
Benign Neoplasm
-
Malignant
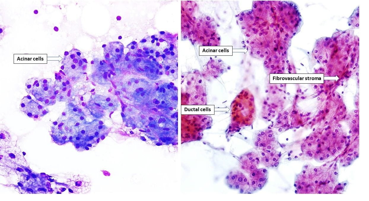
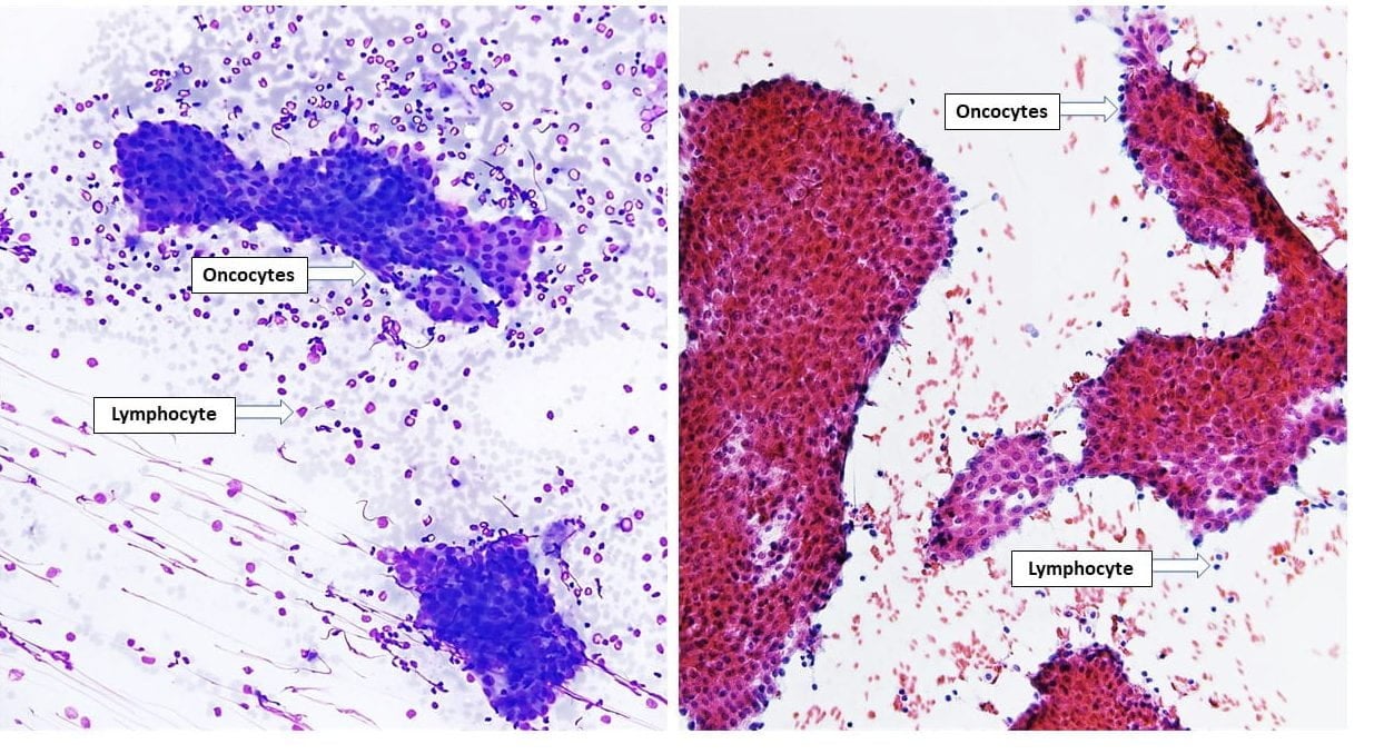
Non-neoplastic entities
case 1
case 2
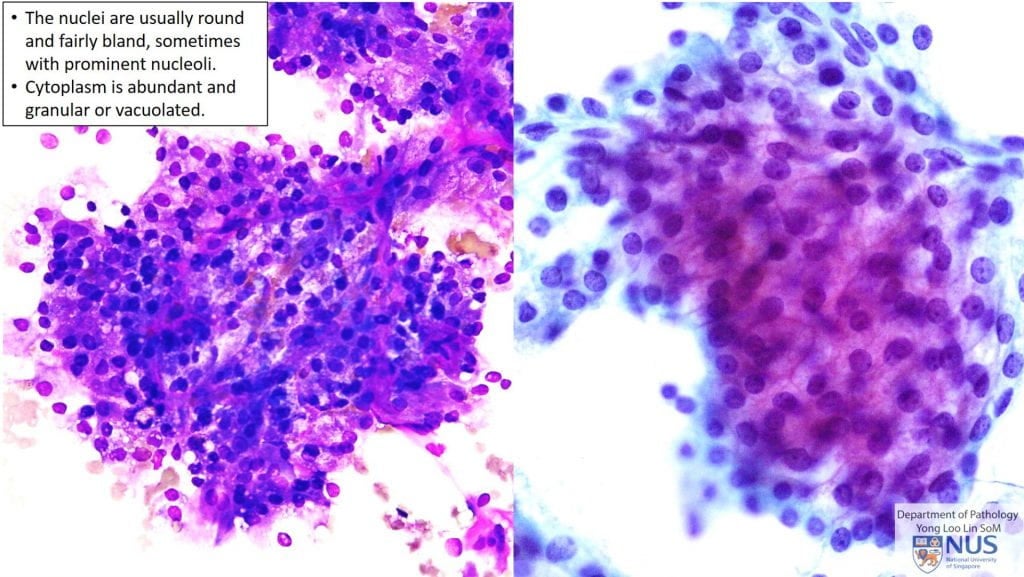
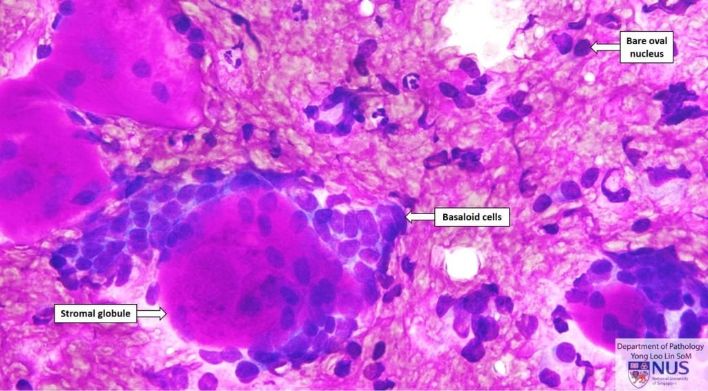
Benign Neoplasm
case 3
case 4
case 5
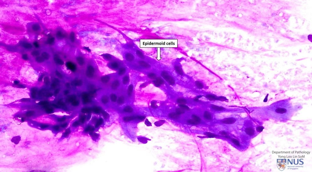
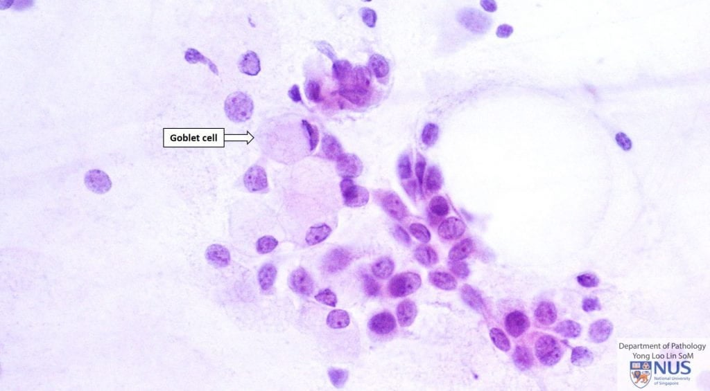
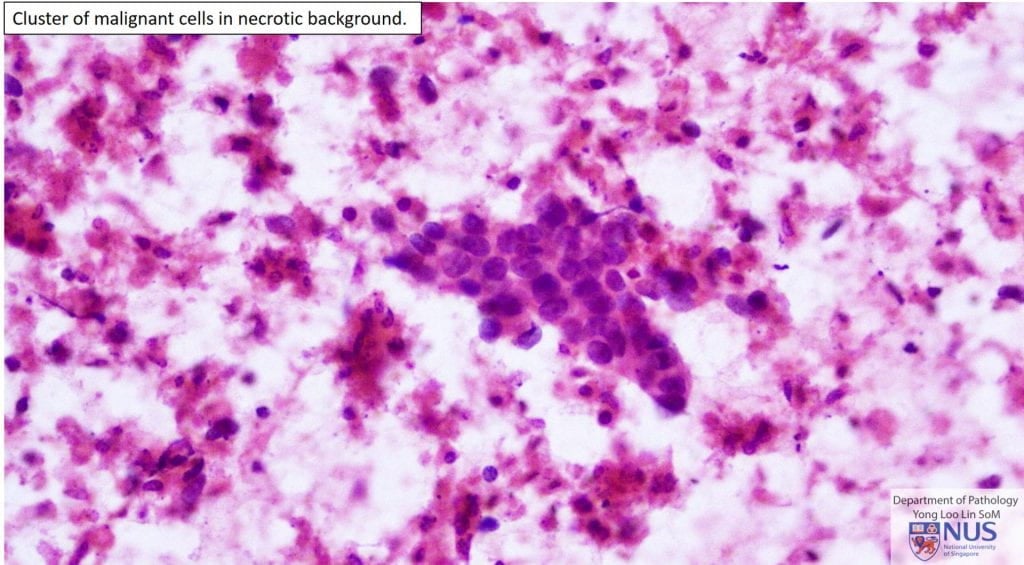
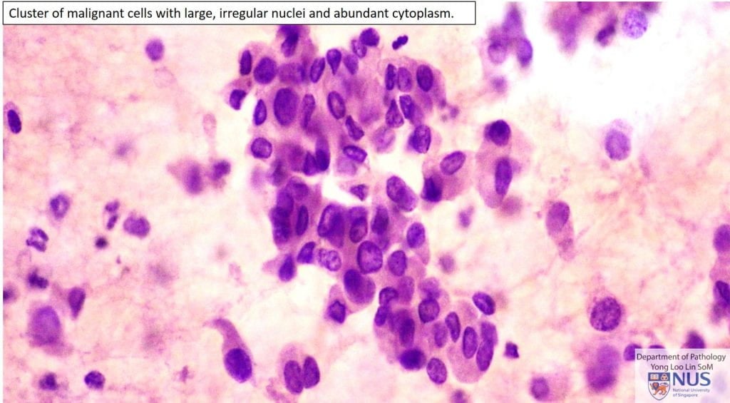
malignant
case 6
case 7
case 8
case 9






















