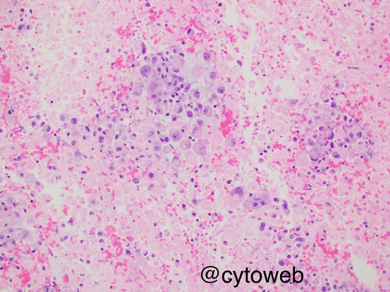
The differential diagnosis in a thyroid FNA with pleomorphic single cells and necrosis include:
Anaplastic thyroid carcinoma (ATC)
Metastatic carcinoma
Medullary thyroid carcinoma (MTC)
ATC should be the first and foremost consideration in an elderly patient with a rapidly enlarging and locally invasive thyroid mass. The cellular elements can range from epithelioid, spindled to giant cell appearances but overt nuclear pleomorphism and necrosis are constant features. Occasionally, smears can show only necrosis and inflammatory cells, rendering a false negative impression of an infective/inflammatory condition – the clinical history in these cases is extremely important to decide on the diagnostic probability of ATC.
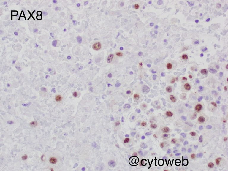
The morphology of ATC is that of a high-grade malignant tumour with no clue to its thyroid origin. Morphologically, it is indistinguishable from a metastatic high-grade tumour; immunohistochemistry is crucial to separate the two. The majority of ATCs are negative for TTF1 and thyroglobulin with retained expression of PAX8. Some ATCs show weak and focal expression for TTF1 and thyroglobulin, which is helpful to identify thyroid origin. The diagnosis of metastatic carcinoma would rely on clinicoradiologic correlation and tailored immunohistochemical work up depending on the site of the primary tumour.
MTC can show a discohesive single cell smear pattern and occasional pleomorphic cells. However, necrosis is usually not a prominent features and the presence of amyloid can be a helpful morphologic clue. The classical morphologic features of plasmacytoid cells and stippled 'salt and pepper' chromatin, as well as the presence of spindle cells, are also key diagnostic clues. MTC can show weak to moderate positivity for TTF1, variable and weak staining for PAX8 and negativity for thyroglobulin, which may show a similar staining profile as ATC. Positivity for both CEA and calcitonin would support the diagnosis, which would otherwise be negative in ATC.
Although not part of the differential diagnosis in this particular case, poorly differentiated thyroid carcinoma may be a diagnostic consideration in cases with crowded solid sheets, less cellular pleomorphism and some necrosis i.e. mimicking one end of the spectrum of ATCs. Immunohistochemistry may be useful in these cases; ATCs often show aberrant p53 IHC staining (overexpression or rarely null staining patterns) and the Ki-67 proliferation index is usually greater than 30% while poorly differentiated thyroid carcinoma is expected to show focal staining for p53 IHC and have a Ki-67 proliferation index of 10-30%. TTF1 and thyroglobulin, if negative, are helpful to support the diagnosis of ATC while diffuse positivity leans towards poorly differentiated thyroid carcinoma.