- Discussion:
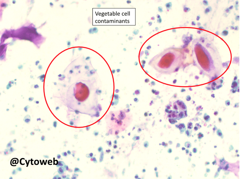
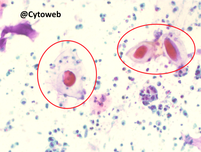
- Vegetable/plant cell-like structures have been reported in urinary bladder diversion cytology specimens [1-3]
- They are likely to be contaminant from the adhesive or skin barrier of urostomy care products, which contain guar gum, a hydrocolloid which is of vegetable origin [2]
- In most cases, these vegetable cell-like structures were admixed with lubricant jelly [1]
- Differential diagnoses:
- Faecaluria indicating a fistula between urinary and intestinal tract
- Cellular heterogeneity e.g. presence of degenerate striated muscle from ingested meat in addition to vegetable matter would favour faecaluria
- Plant cells from ingested vegetable material may also show degenerative features
- Clinical corroboration should be sought, e.g. infective symptoms, pneumaturia, faecal material in urostomy bag, suggestive imaging findings
- Parasitic ova (e.g. schistosomiasis)
- Thick waxy appearance may mimic viral inclusions (e.g. Molluscum bodies)
[1] Quiroga-Garza G, Nassar D, Khalbuss W, E, Monaco S, E, Pantanowitz L. Vegetable Cell Contaminants in Urinary Bladder Diversion Cytology Specimens. Acta Cytologica 2012;56:271-6.
[2] Planinšek T, Kladnik A, Pohar-Marinšek Z, Fležar MS. Vegetable cells in urinary samples of patients with bricker ileal conduit. Diagn Cytopathol 2014;42(2):120-4.
[3] Yamashita M, Hotta M, Yoshino K, Hidaka Y, Kimura T. A Food Debris-Like Component in the Urine Sediment From a Urostomy Pouch. Lab Med 2017;48(2):178-82.