Thoracic case 2
An obstructing bronchial lesion
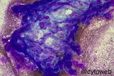
Clinical history: A 46-year-old female, non-smoker, presented with shortness of breath. Imaging showed obstructive atelectasis and bronchoscopy revealed a 3.0 cm endobronchial submucosal lesion in the left main bronchus. Fine needle aspiration of the lesion was performed.
(Case contributed by: Dr Bibiana Tie, Princess Alexandra Hospital, Brisbane, Australia)
Case writer: Dr Noel Chia
