salivary gland case 1
Jaw swelling
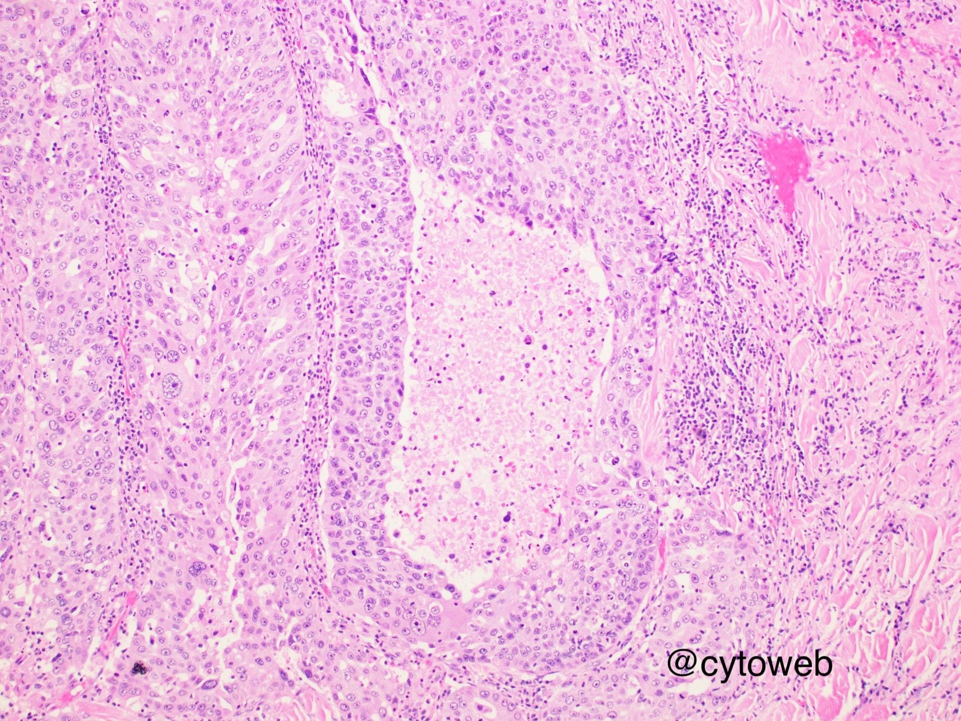
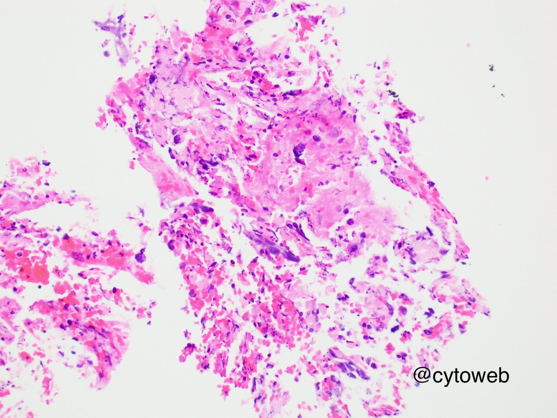
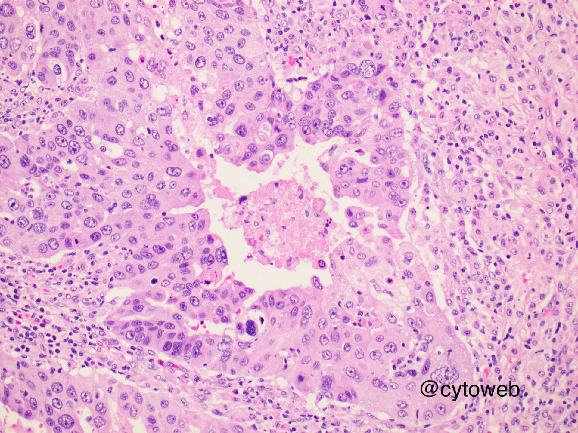
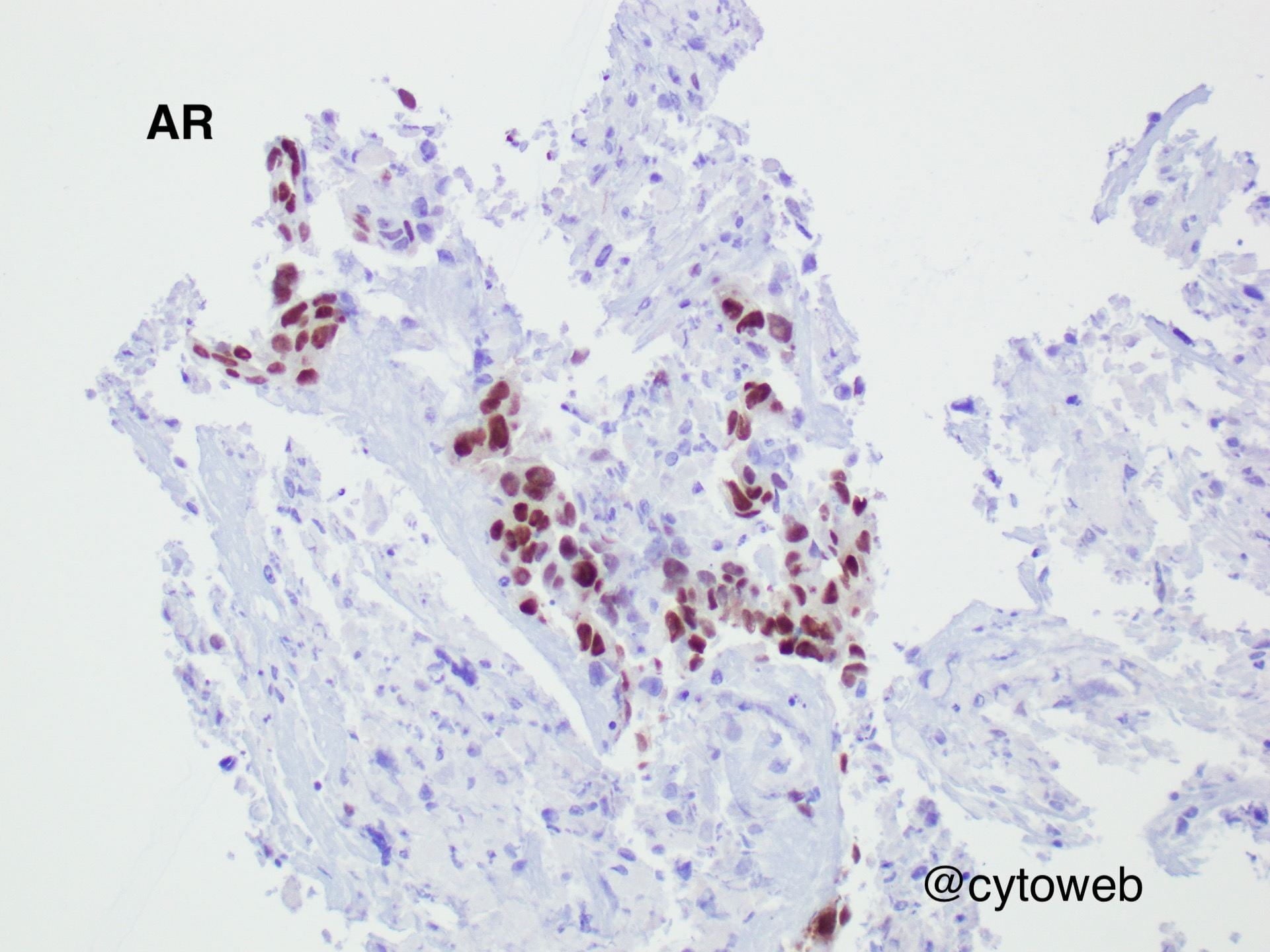
Clinical history: A 65-year-old man presented with an enlarging lump at his left jaw. FNA of the lump is performed.
Case writer: Dr Noel Chia
Clinical history: A 65-year-old man presented with an enlarging lump at his left jaw. FNA of the lump is performed.
Case writer: Dr Noel Chia