
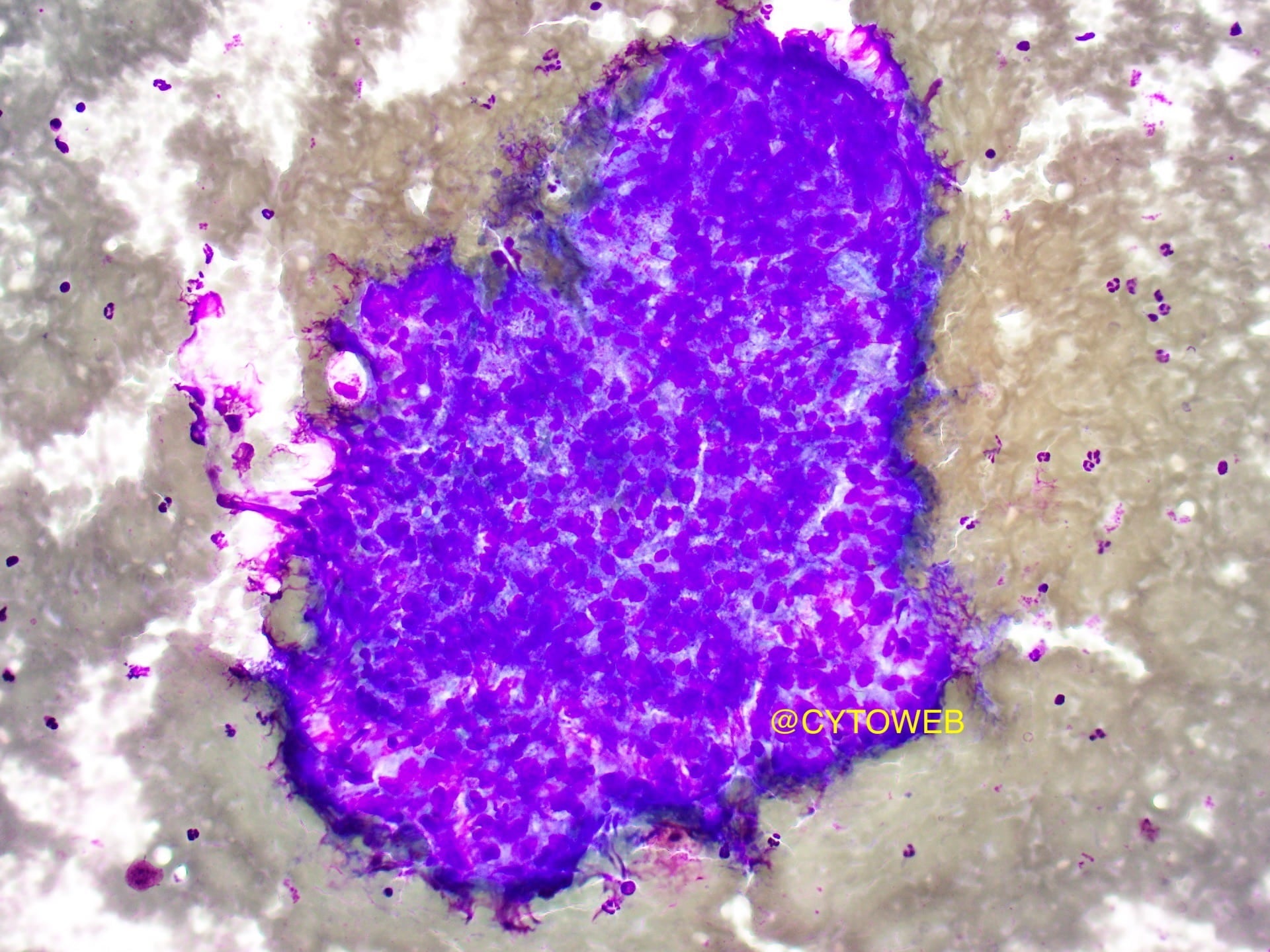
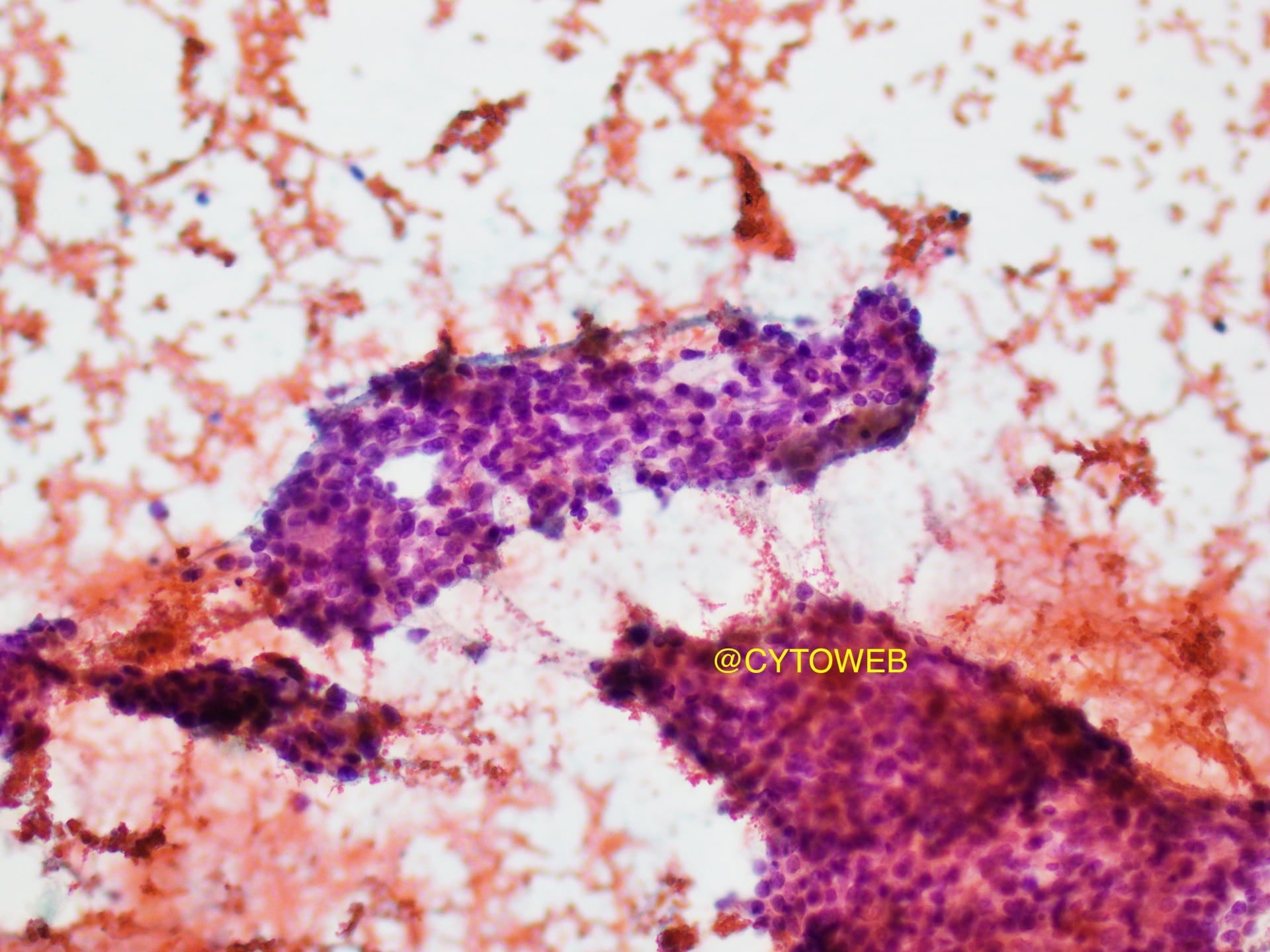
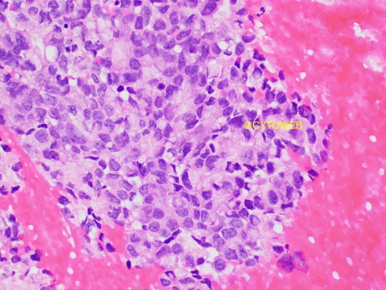
- Crowded sheets of tumour cells with overlapping nuclei
- Acinar formation is discernible within the sheets
- Round to oval eccentric nuclei with mild nuclear pleomorphism
- Fine powdery chromatin and inconspicuous nucleoli
- Moderate to abundant pale cytoplasm
- Clean background – no necrosis
Commentary:
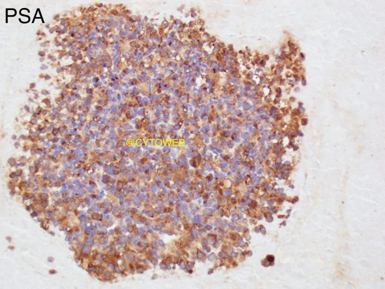
Provisionally, the diagnosis is metastatic adenocarcinoma. Given the clinical history of an elderly male, primary sites to consider include lung, upper gastrointestinal tract, pancreatobiliary system, lower gastrointestinal tract and prostate.
There are some morphologic clues to the site of origin, can you identify them?