Metastatic hepatocellular carcinoma
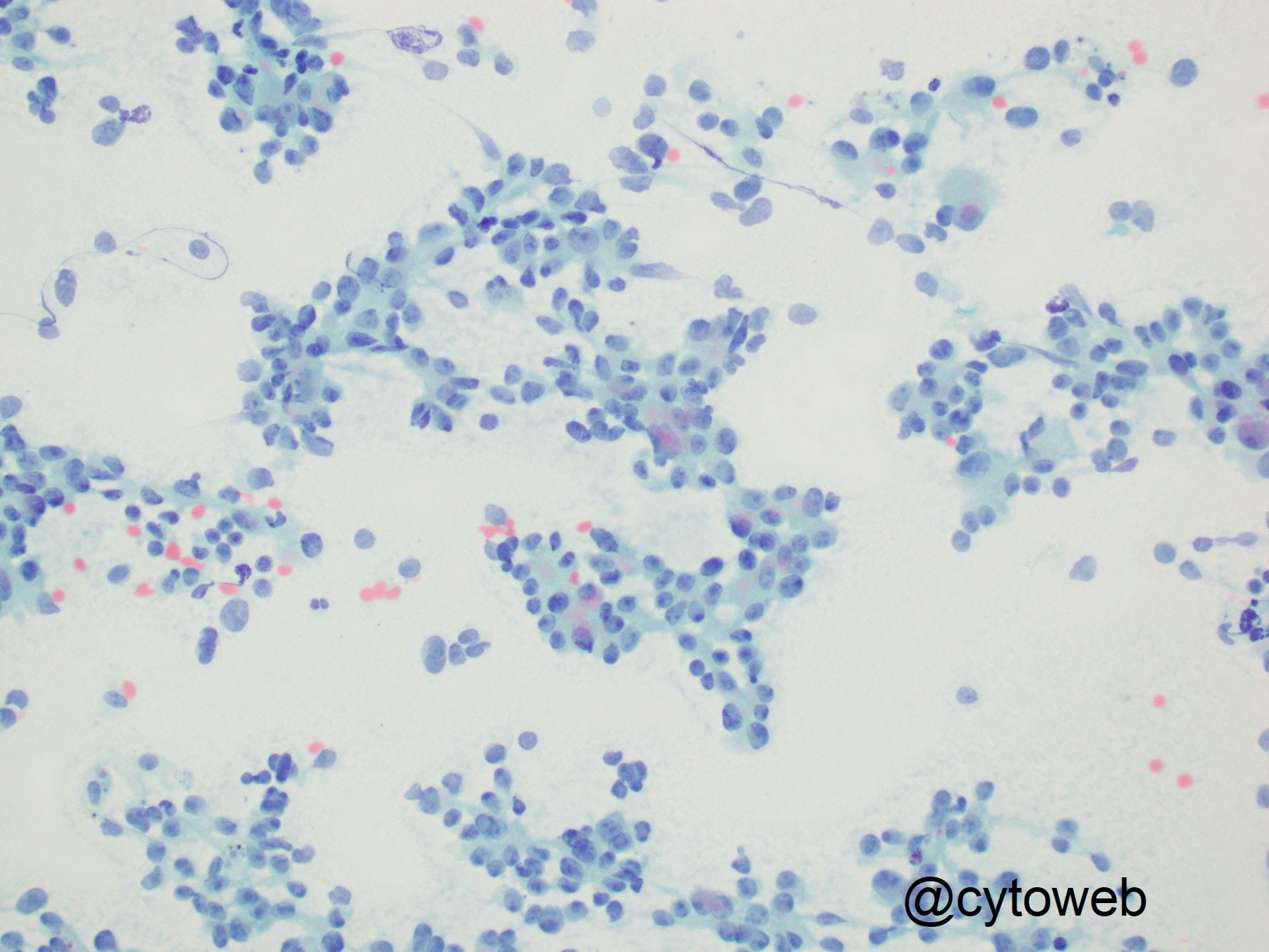
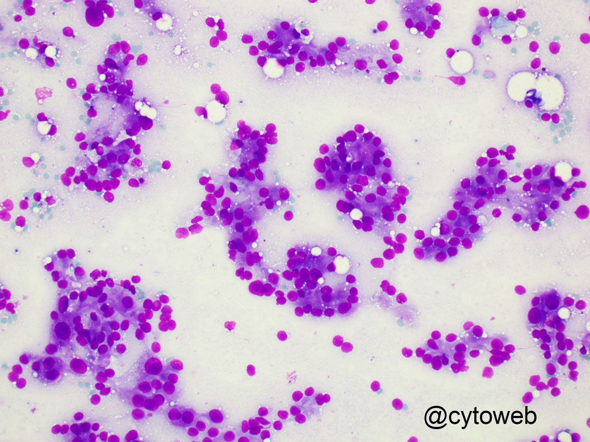
The difficulty in this case lies in the dominant acinar architecture, presence of vague trabecular structures (noted in retrospect, and more apparent in the cell block than the smears) and absence of endothelial wrapping around the clusters. No bile pigment was identified as well, and this was noted in the cytology report.
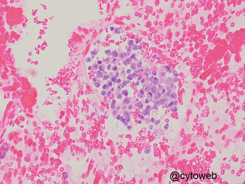
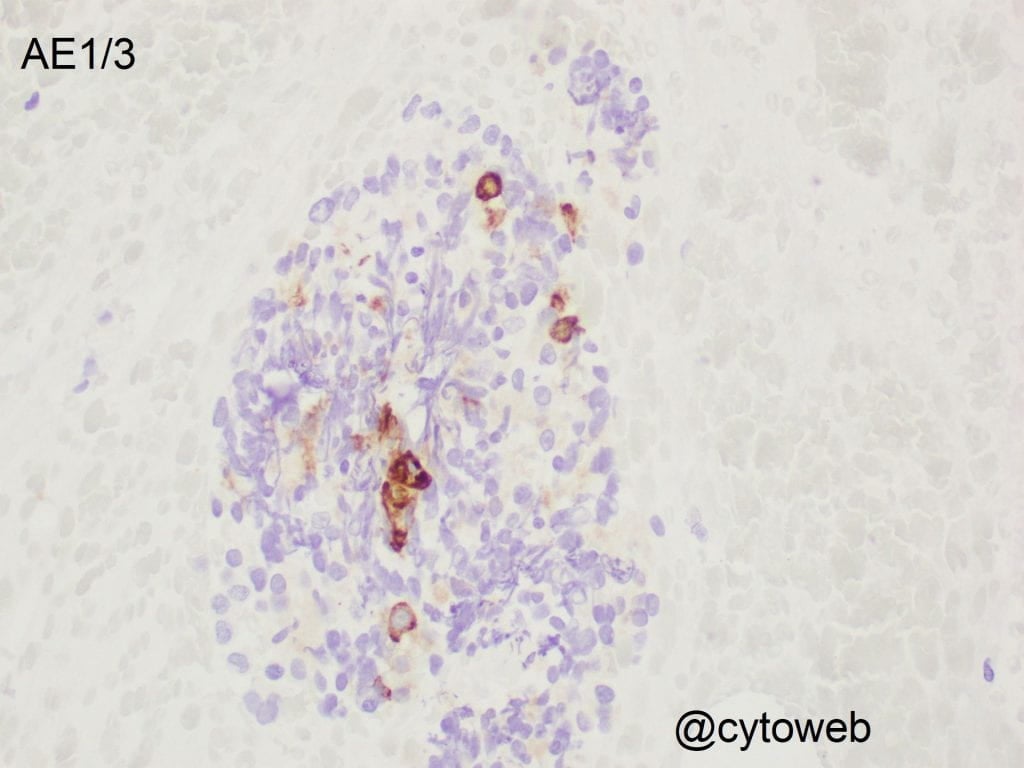
Cytomorphologic hallmarks of hepatocellular carcinoma are the presence of trabecular architecture, endothelial wrapping around cell groups and intracytoplasmic bile pigment. Interestingly, the histology sample showed an overwhelming classic sinusoidal-trabecular architecture while the pseudoacinar pattern was only focally noted; the latter being the predominant pattern in the cytology sample.
These sampling issues highlight the importance of rigorous attention to clinical investigations, in particular, where the cytomorphologic features are not fully classical or specific.