EUS-FNA 3
An incidento-cyst in the pancreas
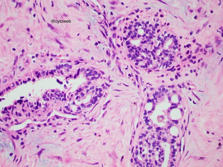
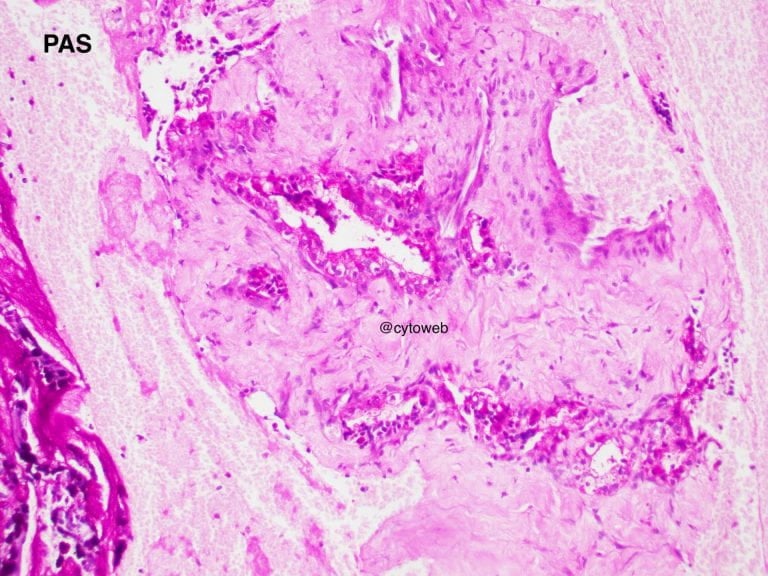
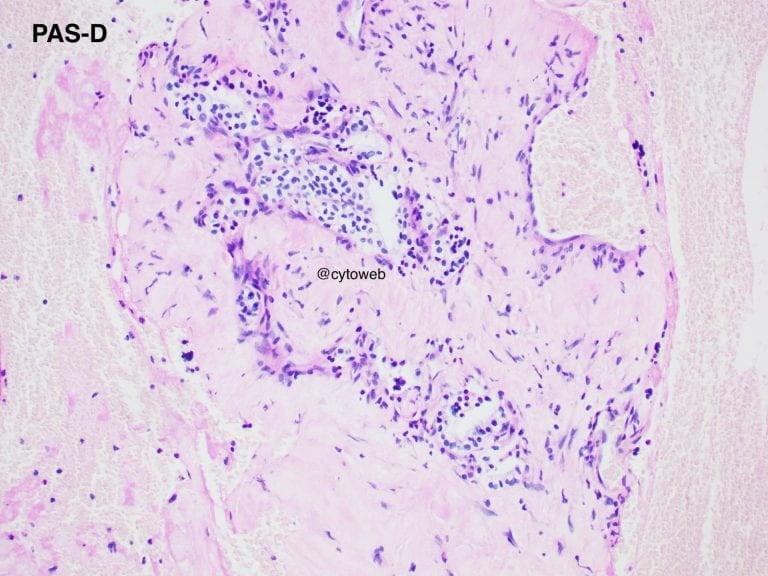
Clinical history: A 50-year-old female was found to have an incidental solitary multi-septated cyst in the pancreatic neck. There was enhancement of the septa of the cyst on CT imaging. Endoscopic ultrasound showed an echogenic central area. The cyst does not communicate with the pancreatic ductal system. Fine needle aspiration of the lesion was performed and 1ml of clear watery fluid was aspirated.
Case writer: Dr Noel Chia




